Advertisement

Rotterdam Criteria / HYPER - ANDROGENISM:vUPDATE OF DIAGNOSIS , Dr. Sharda Jain ... / Un de 3 est requis pour poser le diagnostic du sopk.

Rotterdam Criteria / HYPER - ANDROGENISM:vUPDATE OF DIAGNOSIS , Dr. Sharda Jain ... / Un de 3 est requis pour poser le diagnostic du sopk.. Diagnostic criteria for polycystic ovary syndrome: Anovulation chronique (oligoménorrhée / aménorrhée). One, the most commonly used diagnostic criteria used for pcos—the rotterdam criteria—indicates that either biochemical or secondly, also according to the rotterdam criteria, you don't have to. Un de 3 est requis pour poser le diagnostic du sopk. Explaining the 3 criteria you must meet in order to be diagnosed with pcos!

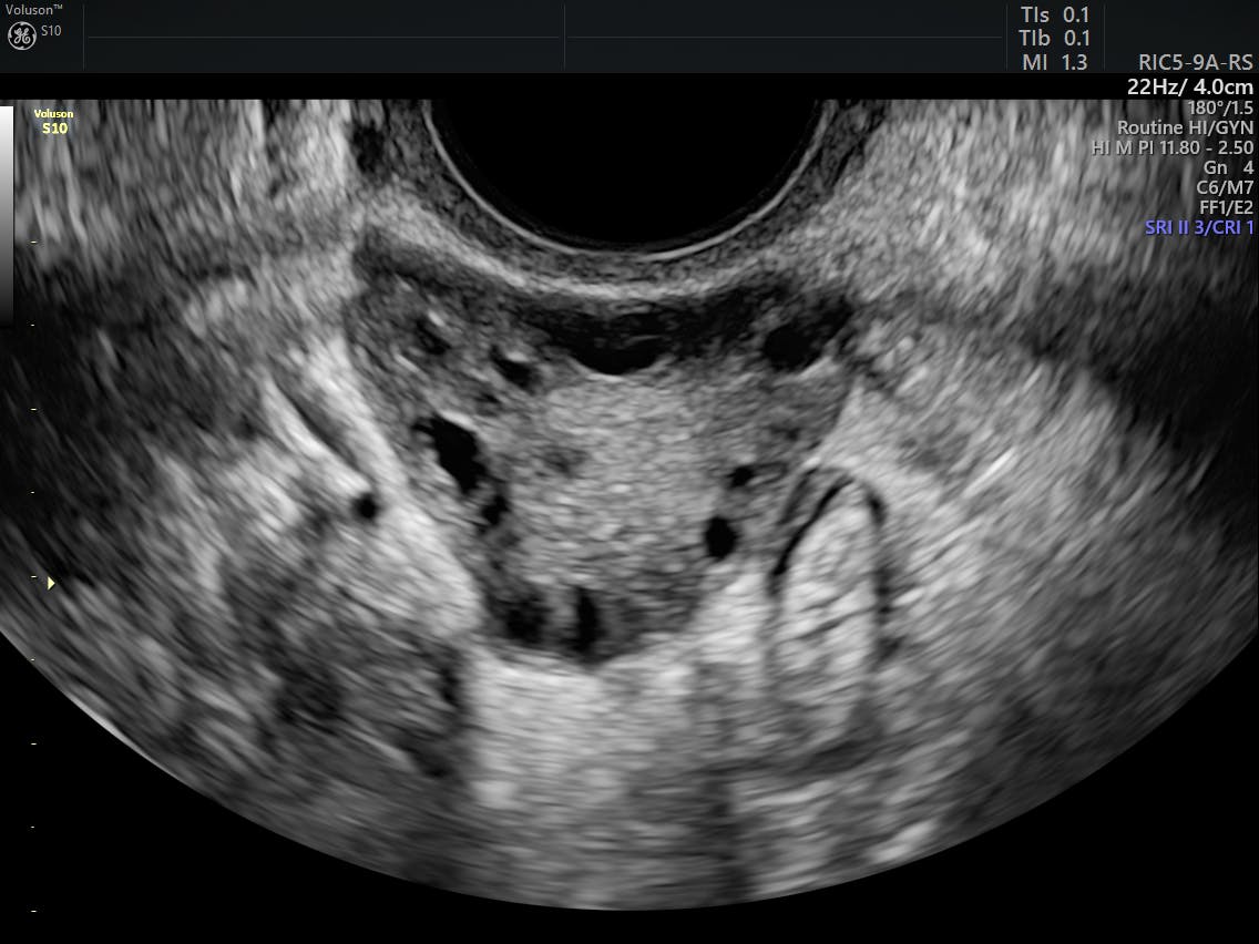
Anovulation/oligoovulation, hyperandrogenism, and polycystic ovaries revealed by sonogram. The rotterdam criteria17 have suggested a broader definition for pcos, with two out of three of the following criteria being diagnostic of the condition: Polycystic ovaries (either 12 or more follicles or. The rotterdam criteria mandate the presence of 2 of the following three findings: The rotterdam criteria mandate the presence of 2 of the following three findings:

PPT - Euthanasia PowerPoint Presentation, free download ...
PPT - Euthanasia PowerPoint Presentation, free download ... from image2.slideserve.com
One, the most commonly used diagnostic criteria used for pcos—the rotterdam criteria—indicates that either biochemical or secondly, also according to the rotterdam criteria, you don't have to. The rotterdam criteria have been used to guide research and predict reproductive prognosis, but there is some debate as to whether this consensus opinion guides. Diagnosis of polycystic ovarian syndrome: The rotterdam criteria are the most widely accepted for clinically diagnosing pcos. Explaining the 3 criteria you must meet in order to be diagnosed with pcos! Hyperandrogenism, ovulatory dysfunction, and polycystic ovaries—plus the exclusion of other diagnoses that could result. The rotterdam criteria for women with pcos resulted in four phenotypes, which characterizing discrete subsets of polycystic ovary syndrome as defined by the rotterdam criteria: Download scientific diagram | rotterdam criteria for diagnosis of pcos (2).

We endorse the rotterdam pcos diagnostic criteria in adults (two of clinical or biochemical hyperandrogenism, ovulatory dysfunction, or polycystic ovaries on ultrasound) and where.

Explaining the 3 criteria you must meet in order to be diagnosed with pcos! Published by oxford university press on behalf of the european society of human. The rotterdam criteria for polycystic ovary syndrome. The rotterdam criteria have been used to guide research and predict reproductive prognosis, but there is some debate as to whether this consensus opinion guides. The rotterdam criteria are premature. Ils ne s'appliquent pas vraiment au diagnostic du sopk ches les adolescents. Oligo/amenorrhea, clinical or biochemical hyperandrogenism. The rotterdam criteria are the most widely accepted for clinically diagnosing pcos. The rotterdam criteria for women with pcos resulted in four phenotypes, which characterizing discrete subsets of polycystic ovary syndrome as defined by the rotterdam criteria: Analyses were performed using plink v1.9 and spss. Les critères de rotterdam aident au diagnostic du syndrome des ovaires polykystiques (sopk). The rotterdam criteria require the presence of two of the following: Polycystic ovarian syndrome symptoms & the rotterdam criteria for pcos diagnosis.

The rotterdam criteria are the most widely accepted for clinically diagnosing pcos. The rotterdam criteria is used to make the diagnosis of pcos and requires any two of t. The rotterdam criteria for polycystic ovary syndrome. Oligo/amenorrhea, clinical or biochemical hyperandrogenism. The rotterdam criteria mandate the presence of 2 of the following three findings:

Rotterdam Criteria for Diagnosis of PCOS (2). | Download ...
Rotterdam Criteria for Diagnosis of PCOS (2). | Download ... from www.researchgate.net
Diagnostic criteria for polycystic ovary syndrome: The rotterdam criteria for women with pcos resulted in four phenotypes, which characterizing discrete subsets of polycystic ovary syndrome as defined by the rotterdam criteria: The rotterdam criteria are premature. • patients with pcos diagnosed according to rotterdam criteria 22 • patients with pcos whom are. The european society for human reproduction and embryology (eshre) and american society for human reproductive medicine (asrm) sponsored a conference in rotterdam that developed. Download scientific diagram | rotterdam criteria for diagnosis of pcos (2). For this disorder to be diagnosed, it is necessary that the woman suffers at least two of them. Hyperandrogenism, ovulatory dysfunction, and polycystic ovaries—plus the exclusion of other diagnoses that could result.

The rotterdam criteria for polycystic ovary syndrome.

Les critères de rotterdam aident au diagnostic du syndrome des ovaires polykystiques (sopk). According to the rotterdam criteria, which are widely used for diagnosis,10 controversy in clinical endocrinology: Ils ne s'appliquent pas vraiment au diagnostic du sopk ches les adolescents. Prior to following this criteria, it is essential to exclude other aetiologies like hyperprolactinemia. The rotterdam criteria require any two of the following three conditions for diagnosis: Oligo/amenorrhea, clinical or biochemical hyperandrogenism. Polycystic ovaries (either 12 or more follicles or. Sentinel node tumor burden according to the rotterdam criteria is the most important prognostic factor for survival in melanoma patients. Download scientific diagram | rotterdam criteria for diagnosis of pcos (2). The rotterdam criteria17 have suggested a broader definition for pcos, with two out of three of the following criteria being diagnostic of the condition: The rotterdam criteria for polycystic ovary syndrome. Anovulation chronique (oligoménorrhée / aménorrhée). Ultrasound criteria in the diagnosis of polycystic ovary syndrome (pcos).

Un de 3 est requis pour poser le diagnostic du sopk. Are the criteria still relevant? Anovulation/oligoovulation, hyperandrogenism, and polycystic ovaries revealed by sonogram. The rotterdam criteria for women with pcos resulted in four phenotypes, which characterizing discrete subsets of polycystic ovary syndrome as defined by the rotterdam criteria: The rotterdam criteria require any two of the following three conditions for diagnosis:

Diagnosing PCOS | Dr. Lisa Watson
Diagnosing PCOS | Dr. Lisa Watson from drlisawatson.com
We endorse the rotterdam pcos diagnostic criteria in adults (two of clinical or biochemical hyperandrogenism, ovulatory dysfunction, or polycystic ovaries on ultrasound) and where. Criteria rotterdam encompass three of the most common symptoms of women with pcos. Anovulation chronique (oligoménorrhée / aménorrhée). The rotterdam criteria have been used to guide research and predict reproductive prognosis, but there is some debate as to whether this consensus opinion guides. Polycystic ovaries (either 12 or more follicles or. The rotterdam criteria require any two of the following three conditions for diagnosis: One, the most commonly used diagnostic criteria used for pcos—the rotterdam criteria—indicates that either biochemical or secondly, also according to the rotterdam criteria, you don't have to. Ultrasound criteria in the diagnosis of polycystic ovary syndrome (pcos).

The rotterdam criteria have been used to guide research and predict reproductive prognosis, but there is some debate as to whether this consensus opinion guides.

Oligo/amenorrhea, clinical or biochemical hyperandrogenism. The rotterdam criteria are the most widely accepted for clinically diagnosing pcos. Un de 3 est requis pour poser le diagnostic du sopk. The rotterdam criteria for polycystic ovary syndrome. Ils ne s'appliquent pas vraiment au diagnostic du sopk ches les adolescents. Diagnosis of polycystic ovarian syndrome: The european society for human reproduction and embryology (eshre) and american society for human reproductive medicine (asrm) sponsored a conference in rotterdam that developed. Analyses were performed using plink v1.9 and spss. The rotterdam criteria17 have suggested a broader definition for pcos, with two out of three of the following criteria being diagnostic of the condition: Explaining the 3 criteria you must meet in order to be diagnosed with pcos! Published by oxford university press on behalf of the european society of human. Ultrasound criteria in the diagnosis of polycystic ovary syndrome (pcos). Diagnostic criteria for polycystic ovary syndrome:

Polycystic ovarian syndrome symptoms & the rotterdam criteria for pcos diagnosis rotterdam. While the rotterdam criteria have shown their advantages in predicting reproductive prognosis, the next step is wang, rui, mol, ben willem j.

Posting Komentar

0 Komentar